요리식물건강/건강은

코로나19 총복습 1월 27일 까지

천사요정 2021. 1. 25. 04:03

코비드 19가 독감만도 못한 감기라는 가짜뉴스를 믿는 사람들이 생각보다 꽤 많은 것 같습니다.

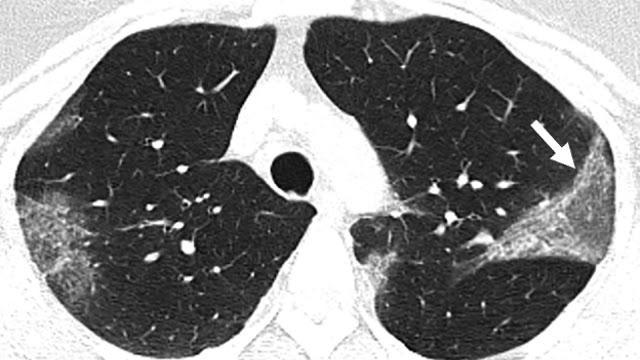
저는 의사로서 코비드 19에 걸렸다가 회복된 사람의 폐가 30년간 담배를 핀 흡연가의 폐보다 더 형편없이 망가져 있는 것을 보고 이 병이 단순한 폐렴이 아니라는 것을 알고 경악을 금치 못했습니다.

게다가 작년 7월에 란셋에 보고된 논문에 의하면 코비디 19에서 완전히 회복한 후에 3개월이 지난 시점에서 60% 의 환자에거서 폐손상이 CT scan을 통해서 확인할 수 있었다는 보고도 있습니다.

 

최근에 제 환자 한분이 코비드-19 확진되어 병원에 입원하셨다가 퇴원해서 집에서 쉬고 있습니다.

이 분이 거의 무증상 가까운 상태로 저를 찾아 왔습니다.

열도 없고 단지 마른 기침, 몸살 증세, 피곤한 것이 전부였으나 저는 그 분의 폐 엑스레이를 보고 바로 입원시켰습니다.

 

엑스레이를 보니 양쪽 폐를 모두 광범위하게 침범하는 폐렴인데 코비드 19란 것을 바로 알려 차렸습니다.

본인도 자신이 코비드 19 환자라는 것은 전혀 예상도 못했다고 합니다.

놀랍게도 본인은 숨도 가쁘지 않고 열도 없었다고 합니다.

무증상 감염자의 상당수가 이런 폐를 갖고 있다고 하는 충격적인 보고도 있으니 제가 장담하건데 향후 3년 안에 만성 폐질활 환자 수가 미국에서 폭발적으로 늘어나는 시대가 올 겁니다.

그래서 저는 코비드-19 무슨 수를 써서라도 걸리지 말고 백신을 맞고 항체를 최대한 높은 수준으로 보유하라고 권하는 겁니다.

 

www.youtube.com/post/UgyXtnEuyNuSWkUQDL94AaABCQ

DR. Ezra Hangjun Jang 장항준 내과TV 1월 27일

 

당연히 모든 감염자는 아닙니다. 중환자실까지 가지 않고, 회복한 사람의 60% 이상이라고 란셋에 나와 있습니다. 무증상자의 몇 %가 저런지는 좀 더 깊은 조사가 필요하지만, 일부 의사들의 주장을 보면, 생각보다 많다고 합니다. 이 환자는 폐사진에 비해서, 증세가 너무 경미해서, 의료진을 놀라게 한 케이스구요. 그러 것이 여러번 있었습니다.

 

 

서울대학교 강연 내용

 

지난 1월 21일 서울대학교에서 주최한 강연회 '우리는 정말 COVID-19에 대하여 알고 있을까?'

에서 제가 발표한 내용입니다.

 

2002년 가을 중국 광동성에서 사스 코로나바이러스가 발견된 뒤 
17년이 지나 2019년 가을 다시 중국에서 Novel 코로나바이러스가 발견되었습니다.
전세계는 새로운 바이러스의 출현으로 공포에 떨고 있으며,  한국도 그중의 하나입니다. 
하지만 언론과 학계에서는 사건의 본질을 제대로 알리기보다는 

사안의 심각성만 부각시키며 온 국민을 불안의 도가니로 몰아넣고 있습니다. 
과연 우리는 이번 사건에 대한 진실에 접근하고 있는걸까요?
꼭 알아야하는 무언가를 놓치고 있지는 않나요?
다시는 이런 일을 반복하지 않기 위해 우리가 알아야 하는 정확한 정보를 바른의학에서 짚어드립니다. 

 

 

사회적 거리두기, 확진자 동선찾기, 마스크. 과연 코로나를 막을 수 있을까? 2020. 11. 8

 

2002년 가을 중국 광동성에서 사스 코로나바이러스가 발견된 뒤 
17년이 지나 2019년 가을 다시 중국에서 Novel 코로나바이러스가 발견되었습니다.
전세계는 새로운 바이러스의 출현으로 공포에 떨고 있으며,  한국도 그중의 하나입니다. 
하지만 언론과 학계에서는 사건의 본질을 제대로 알리기보다는  사안의 심각성만 부각시키며 온 

국민을 불안의 도가니로 몰아넣고 있습니다. 
과연 우리는 이번 사건에 대한 진실에 접근하고 있는걸까요?
꼭 알아야하는 무언가를 놓치고 있지는 않나요?
다시는 이런 일을 반복하지 않기 위해 우리가 알아야 하는 정확한 정보를 바른의학에서 짚어드립니다. 

 

 

코로나19 지난 1년의 기록… 사망자 190만 명 넘어 - BBC News 코리아 2021. 1. 11

2020년 신종 코로나바이러스 감염증(코로나19)이 전 세계를 강타했다.

지난해 1월 11일 중국에서 첫 사망자가 보고된 후, 불과 1년 만에 전 세계 사망자는 190만 명을 넘었다.

10일 기준 전 세계 코로나19 확진 환자수도 9000만 명을 넘었다.

실시간 국제 통계사이트인 '월드오미터(Worldometer)'에 따르면 10일 오전 기준 확진자 수는 9007만 7446명으로 나타났다. 사망자는 193만4813명이다. 지난 1년 동안 전 세계에서 매일 5000명 이상이 코로나19로 숨졌다. 일주일에 3만5000명 이상, 한 달에 15만 명 이상 사망한 것이다.

 

 

5년전에 이미 예견된 바이러스 2020. 2. 21

 

2015년 발표한 '네이쳐 메디신'에 나온 논문과 함께 신종 바이러스를 치료 연구를 위해 Reverse genetics 실험, 개발한 바이러스에 대해 알아보겠습니다. 본 영상에서 인용한 LANCET에 발표한 바이러스 돌연변이는 0.01% - 0.02% 로 정정합니다. Nature Medicine에 나온 논문의 원본은 아래의 링크에서 보실 수있습니다. https://www.nature.com/articles/nm.3985

 

코.로나 바이러.스! 정말 실험실에서 만들어 졌을까?

 2020. 4. 30

 

 

신종 코로나 바이러스 2019-nCoV의 스파이크 당 단백질은 같은 클레이 드의 CoV에없는 퓨린 유사 절단 부위를 포함합니다

 

하이라이트

2019-nCoV의 게놈 서열은 바이러스가 계통 b의 베타 코로나 바이러스와 클러스터됨을 나타냅니다.

2019-nCoV S- 단백질 서열은 SARS-CoV 서열을 포함하는 계통 b CoV에없는 특정 푸린 유사 절단 부위를 갖는다.

2019-nCoV의 S- 단백질에서 퓨린 유사 절단 부위는 바이러스 수명주기 및 병원성에 영향을 미칠 수 있습니다.

항 -2019-nCoV 치료제 개발 캠페인에는 푸린 억제제 평가가 포함되어야합니다.

요약

2019 년 중국 우한에서 인간을 감염시키는 신종 코로나 바이러스 (2019-nCoV)가 등장했습니다. 그것의 게놈은 시퀀싱되었고 게놈 정보는 즉시 공개되었습니다. SARS-CoV 및 SARS- 유사 CoV의 게놈 서열과 높은 유사성에도 불구하고, 우리는 2019-nCoV의 스파이크 단백질에서 다른 SARS- 유사 CoV에는없는 독특한 퓨린 유사 절단 부위를 확인했습니다. 이 기사에서는 바이러스주기에서이 절단 부위의 가능한 기능적 결과, 병원성 및 항 바이러스제 개발에 대한 잠재적 영향에 대해 논의합니다.

    인간 코로나 바이러스 (CoV)는 Nidovirales 목에 속하는 외피 포지티브 가닥 RNA 바이러스 이며 주로 상부 호흡기 및 소화관 감염을 담당합니다. 그중 각각 2002 년과 2013 년에 확산 된 SARS-CoV 및 MERS-CoV는 중증 폐렴 및 세기관지염과 같은 심각한 인간 질병과 더 취약한 집단의 수막염과 관련이 있습니다 ( de Wit et al., 2016 ). 2019 년 12 월, 우한시에서 새로운 CoV (2019-nCoV)가 발견되었으며,이 새로운 바이러스 감염은 사망률이 ~ 2 ~ 3 % 인 심각한 인간 호흡기 질환과 관련이있었습니다 ( Li et al., 2020 ) . 아마도 인간에게 처음에 동물 저장소로부터 전송 된 것으로 추정 된 바이러스 를 통해증폭 호스트. 그러나 인간 대 인간 전염이보고되어 2020 년 2 월 초 WHO에 의해보고 된 640 명 이상의 사망을 포함하여 31,000 명이 확인 된 인간 감염으로 지속적인 전염병이 확산되었습니다. 추정 유효 생식 수 (R) 값은 ~ 2.90입니다. (95 % : 2.32–3.63) 발병 초기에 전염병의 가능성을 높입니다 ( Zhao et al., 2020 ). 이로 인해 WHO는이를 국제 우려의 공중 보건 비상 사태로 선언했습니다. 지금까지 사용 가능한 특정 항 바이러스 치료법이나 백신이 없기 때문에 이것은 특히 관련이 있습니다. 게놈 서열에 따라 2019-nCoV는 Betacoronavirus의 계보 b에 속합니다 ( 그림 1A), 여기에는 SARS-CoV 및 박쥐 CoV ZXC21도 포함되며, 후자는 2019-nCoV에 가장 가까운 CoV ZC45입니다. 2019-nCoV는 스파이크 (S)-단백질 서열에서 SARS-CoV와 80 %, CoV ZXC21과 80 %의 아미노산 서열 동일성을 공유합니다 ( Chan et al., 2020 ). 이 기사에서 우리 는 바이러스 진입에 중요한 기능적 의미를 가질 수있는 S 단백질의 성숙 부위 중 하나 ( 그림 1B) 근처에 존재하는 특정 퓨린 유사 프로테아제 인식 패턴에 초점을 맞 춥니 다 .

    1. 다운로드 : 고해상도 이미지 다운로드 (268KB)
    2. 다운로드 : 전체 크기 이미지 다운로드

    그림 1 .SARS- 유사 CoV를 비교 한 S- 단백질 서열의 S1 / S2 절단 부위에서 nCoV- 특이한 서열의 특성화. (A) 속 알파 코로나 바이러스 (α-Cov) 및 베타 코로나 바이러스 (β-CoV), 계통 a, b, c 및 d에서 선별 된 코로나 바이러스의 계통수 : 2019-nCoV (NC_045512.2), CoV-ZXC21 (MG772934), SARS -CoV (NC_004718.3), SARS 형 BM4821 (MG772934), HCoV-OC43 (AY391777), HKU9-1 (EF065513), HCoV-NL63 (KF530114.1), HCoV229E (KF514433.1), MERS-CoV ( NC019843.3), HKU1 (NC_006577.2). Mega X 소프트웨어의 Maximum Likelihood 방법을 사용하여 Orf1ab 아미노산 서열에서 계통 발생 트리를 얻었습니다. 빨간색 별표는 사이트 1에 정식 퓨린 유사 절단 모티프의 존재를 나타냅니다. (B) S1 / S2 부위에서 CoV-ZXC21 및 2019-nCoV로부터 S- 단백질의 코딩 및 아미노산 서열 정렬. 2019-nCoV 관련 시퀀스는 굵게 표시되어 있습니다. 이 위치에서 CoV-ZXC21 S- 단백질의 서열은 2019-nCoV 중 하나를 제외하고 계통 b에 속하는 다른 베타 코로나 바이러스의 서열을 대표합니다. (이 그림 범례에서 색상에 대한 참조를 해석하기 위해 독자는이 기사의 웹 버전을 참조합니다.)

    프로 단백질 전환 효소 (PC, 유전자 PCSK )는 건강한 상태와 질병 상태 모두에서 다양한 생물학적 과정을 조절하는 9 개의 세린 분비 프로테아제 계열을 구성합니다 ( Seidah and Prat, 2012 ). 단백질 분해에 의해 PC는 성장 인자, 호르몬, 수용체 및 접착 분자와 같은 다양한 전구 단백질의 활성화와 감염성 바이러스의 세포 표면 당 단백질의 활성화를 담당합니다 ( Seidah and Chretien, 1999 ) ( 표 1 ). 7 개의 PC는 모티프 (R / K)-(2X) n- (R / K) ↓ 내의 특정 단일 또는 쌍을 이룬 염기성 아미노산 (aa)에서 전구체 단백질을 절단합니다. 여기서 n = 0, 1, 2 또는 3 스페이서 aa ( 세이다와 크레 티엔, 1999). 많은 중요한 세포 표면 단백질 처리에있어서의 역할 때문에 PC, 특히 푸린은 바이러스 감염과 관련이 있습니다. 그들은 특이 적으로 바이러스 외피 당 단백질을 절단하여 숙주 세포막과의 바이러스 융합을 향상시킬 수있는 잠재력을 가지고있다 ( Izaguirre, 2019 ; Moulard and Decroly, 2000 ). HCoV-OC43 ( Le Coupanec et al., 2015 ), MERS-CoV ( Millet and Whittaker, 2014 ) 및 HKU1 ( Chan et al., 2008 ) 과 같은 인간 감염 코로나 바이러스의 경우 스파이크 단백질이 입증되었습니다. S1 / S2 절단 부위 ( 도 2 )에서 절단 되어 S1 및 S2 서브 유닛을 생성합니다. 위의 세 가지 바이러스는 정식 (R / K)-(2X) n- (R / K) ↓ 모티프 (표 1 ). 또한, 바이러스 외피 당 단백질 절단 부위 주변의 변이가 세포 친 화성 및 병인에 역할을한다는 것이 입증되었습니다. 예를 들어, 일부 CoV의 병인은 이전에 S- 단백질 서열에서 퓨린 유사 절단 부위의 존재와 관련이있었습니다. 예를 들어, 감염성 기관지염 바이러스 (IBV) S- 단백질에 유사한 절단 부위를 삽입하면 감염된 닭에서 더 높은 병원성, 뚜렷한 신경 증상 및 신경 친화 증이 발생합니다 ( Cheng et al., 2019 ).

    표 1 . 코로나 바이러스 (위) 및 다른 RNA 바이러스 (아래)에서 엔벨로프 단백질 절단 부위의 비교 시퀀스. 빈 상자 : 합의 주제가 감지되지 않았습니다 ..

    1. 다운로드 : 고해상도 이미지 다운로드 (1MB)
    2. 다운로드 : 전체 크기 이미지 다운로드

    그림 2 . 추정 성숙 부위에 초점을 맞춘 인간 2019-nCoV S- 단백질의 개략도. 도메인은 이전에 SARS-CoV 및 MERS-CoV에서 특성화되었습니다 : 신호 펩티드 (SP), N- 말단 도메인 (NTD), 수용체 결합 도메인 (RBD), 융합 펩티드 (FP), 내부 융합 펩티드 (IFP), heptad 1/2 (HR1 / 2) 및 막 횡단 도메인 (TM)을 반복합니다. SP, S1 ↓ S2 및 S2 '절단 부위는 화살표로 표시됩니다. 다른 CoV S1 / S2 및 S2 '절단 부위의 순서는 Multalin 웹 서버 ( http://multalin.toulouse.inra.fr/multalin/ )를 사용하여 수동 조정과 ESPript 3 ( http : // espript .ibcp.fr / ESPript / ESPript /) 정렬 하단에 SARS-CoV S- 단백질의 이차 구조를 제시합니다 (PDB 5X58 ) ( Yuan et al., 2017 ). 분열 부위와 같은 푸린의 삽입은 검은 색 프레임으로 둘러싸여 있습니다. 빨간색 별표는 S1 / S2 부위에 정식 퓨린 유사 분열 모티프가 있음을 나타냅니다. (이 그림 범례에서 색상에 대한 참조를 해석하기 위해 독자는이 기사의 웹 버전을 참조합니다.)

     

    유사하게, 인플루엔자 바이러스의 경우, 낮은 병원성 형태의 인플루엔자 바이러스는 절단 부위에 단일 염기성 잔기를 포함하며, 이는 트립신 유사 프로테아제에 의해 절단되고 활성화 프로테아제 (들)의 조직 분포는 일반적으로 다음으로 감염을 제한합니다.

    호흡기 및 / 또는 장 기관 ( Sun et al., 2010 ). 반대로, 고병원성 인플루엔자 형태의 인플루엔자는 다양한 세포 유형에서 발현되는 푸린을 포함한 다양한 세포 프로테아제에 의해 절단되는 푸린 유사 절단 부위를 가지고있어 바이러스의 세포 친 화성을 넓힐 수 있습니다 ( Kido et al., 2012 ). 또한 다 염기성 모티프 삽입 R E R R R K KR ↓ G LH5N1 혈구 응집소에서 HA 절단 부위는 1997 년 홍콩 발병 기간 동안 바이러스의과 독성과 관련이있을 가능성이 높습니다 ( Claas et al., 1998 ). 이 모티프는 P1에서 중요한 Arg, P2 및 P4에서 염기성 잔기, P6 및 P8 및 P2 '위치에서 지방족 Leu ( 표 1 ) (Schechter and Berger 명명법 ( Schechter and Berger, 1968 ))를 나타 냅니다. 푸린과 같은 분열 특이성 ( Braun and Sauter, 2019 ; Izaguirre, 2019 ; Seidah and Prat, 2012 ).

     

    코로나 바이러스 S- 단백질은 원래 이름 인 "코로나 바이러스"가 만들어 졌던 CoV 바이러스 입자의 왕관 모양을 담당하는 구조적 단백질입니다. ~ 1200 aa 길이의 S- 단백질은 클래스 I 바이러스 융합 단백질에 속하며 세포 수용체 결합, 조직 향성 및 병인에 기여합니다 ( Lu et al., 2015 ; Millet and Whittaker, 2014 ). 

    보존 된 여러 도메인과 모티프를 포함합니다 ( 그림 2). 삼중 S- 단백질은 감염 동안 숙주 세포 프로테아제에 의해 S1 / S2 절단 부위에서 처리됩니다. 절단 (프라이밍이라고도 함) 후에 단백질은 동족 세포 표면 수용체를 인식하는 N- 말단 S1- 엑토 도메인과 바이러스 진입에 관여하는 C- 말단 S2- 막 고정 단백질로 나뉩니다. SARS-CoV S1- 단백질은 안지오텐신 전환 효소 2 (ACE2)를 인식하는 보존 된 수용체 결합 도메인 (RBD)을 포함합니다 ( Li et al., 2003 ). SARS-CoV는 박쥐와 인간 세포 모두에 결합하며 바이러스는 두 유기체를 모두 감염시킬 수 있습니다 ( Ge et al., 2013 ; Kuhn et al., 2004 ). S1 / ACE2의 RBD 표면은 SARS-CoV의 S1에서 14 aa를 의미합니다 ( Li et al., 2005). 그중 8 개의 잔기가 2019-nCoV에서 엄격하게 보존되어 ACE2가 새로 등장한 nCoV의 수용체이기도하다는 가설을 뒷받침합니다 ( Wan et al., 2020 ). S2- 단백질은 융합 펩티드 (FP), 두 번째 단백질 분해 부위 (S2 '), 그 다음 내부 융합 펩티드 (IFP) 및 막 관통 도메인 (TM) 앞의 2 개의 헵 타드 반복 도메인을 포함합니다 ( 도 2 ). 특히 2019-nCoV와 SARS-CoV의 IFP는 동일하여 바이러스 융합 펩타이드의 특성을 나타냅니다 ( 그림 2 ). 세포 진입과 관련된 분자 메커니즘은 아직 완전히 이해되지 않았지만 FP와 IFP 모두 바이러스 진입 과정에 참여할 가능성이 높습니다 ( Lu et al., 2015) 따라서 S- 단백질은 바이러스 진입을 위해 S1 / S2 및 S2 '절단 부위 모두에서 절단되어야합니다. 

    P1 및 P2 염기성 잔기와 P2 '소수성 Phe ( Seidah and Prat, 2012 ), IFP 하류 에서 KR ↓ S F 에서 퓨린 유사 S2'절단 부위 는 2019-nCoV와 SARS-CoV간에 동일합니다 ( 그림 2 ). MERS-CoV 및 HCoV-OC43에서 S1 / S2 부위는 R XX R ↓ SA, P1 및 P4 염기성 잔기, P2 '에서 Ala (지방족 아님) 로 대체되어 퓨린에 의한 다소 덜 유리한 절단을 시사합니다. 그러나 다른 덜 병원성 순환 인간 CoV에서 S2 '절단 부위는 단 염기성 R ↓ S 서열 만을 나타냅니다 ( 그림 2).) 퓨린 절단을 허용하는 데 필요한 P2 및 / 또는 P4에 염기성 잔기가 없으므로 표적 세포에 의해 발현되는 동족 프로테아제에 따라 진입 단계에서 덜 효율적인 절단 또는 더 높은 제한을 제안합니다. 2019-nCoV의 S2 '에서의 처리가 S- 단백질의 최종 활성화를위한 핵심 이벤트가 될 것으로 예상되지만,이 과정에 관련된 프로테아제 (들)는 아직 결정적으로 확인되지 않았습니다. 

    2019-nCoV S2 '서열 및 위의 인수를 기반으로, 우리는 하나 이상의 퓨린 유사 효소가 KR ↓ S F 에서 S2'부위를 절단 할 것이라고 제안합니다 . S2 '와 달리 RBD와 FP (S1 / S2 절단 부위, 그림 2 ) 사이의 첫 번째 절단은 많은 CoV에 대해 광범위하게 연구되었습니다 ( Lu et al., 2015). 흥미롭게도 S1 / S2 처리 부위는 코로나 바이러스 ( 그림 2 , 부위 1 및 부위 2) 간에 서로 다른 모티프를 나타내며 , 이들 중 다수는 염기성 잔류 물 후에 분열을 나타냅니다. 따라서 프라이밍 과정은 S1 / S2 절단 부위의 서열에 따라 다른 숙주 세포 프로테아제에 의해 보장 될 가능성이 높습니다. 따라서 R SV R ↓ S V 모티프 를 포함하는 MERS-CoV S- 단백질 은 바이러스 유출 중에 아마도 푸린에 의해 절단됩니다 ( Mille and Whittaker, 2014 ). 반대로, SARS-CoV의 S- 단백질은 생합성 후에도 대체로 절단되지 않은 상태로 남아 있으며, 이는 아마도 유리한 푸린 유사 절단 부위 (SLL R-성). 이 경우, 수용체 결합 후 S- 단백질은 Elastase, cathepsin L 또는 TMPRSS2 ( Bosch) 와 같은 표적 세포의 프로테아제에 의해 보존 된 서열 AYT ↓ M (SLL R -ST의 하류에 위치한 10 aa)에서 절단된다는보고가 et al., 2008 ; Matsuyama et al., 2010 , 2005 ; Millet and Whittaker, 2015 ). 프라이밍 이벤트는 바이러스 진입에 필수적이기 때문에 표적 세포의 프로테아제에 의한이 활성화 단계의 효능과 정도는 세포 친 화성 및 바이러스 병인을 조절해야합니다. 2019-nCoV S- 단백질의 경우, 보존 된 부위 2 서열 AYT ↓ M은 아마도 부위 1에서 바람직한 푸린 절단 후에 여전히 절단 될 수있다 ( 도 2 ).

     

    푸린은 폐에서 고도로 발현되기 때문에 호흡기를 감염시키는 외피 바이러스는이 전환 효소를 성공적으로 이용하여 표면 당 단백질을 활성화 할 수 있습니다 ( Bassi et al., 2017 ; Mbikay et al., 1997 ). 2019-nCoV가 출현하기 전에이 중요한 기능은 베타 코로나 바이러스의 계보 b에서 관찰되지 않았습니다. 그러나, 이는 그들의 S- 단백질 ( 도 2 ; 표 1 )에 퓨린 유사 절단 부위를 포함하는 다른 CoV (HCoV-OC43, MERS-CoV, MHV-A59)에 의해 공유되며, 이는 퓨린에 의해 실험적으로 처리되는 것으로 나타났다. ( Le Coupanec et al., 2015 ; Mille and Whittaker, 2014). 놀랍게도 2019-nCoV S- 단백질 서열은 단일 Arg ↓ 절단 부위 1 ( 도 1 , 도 2 )의 업스트림에 12 개의 추가 뉴클레오티드를 포함 하여 예측 적으로 용매에 노출 된 P R RA R ↓ S V 서열에 해당합니다.

    정식 퓨린과 같은 분열 부위 ( Braun and Sauter, 2019 ; Izaguirre, 2019 ; Seidah and Prat, 2012 ). 이 퓨린과 유사한 절단 부위는 바이러스가 유출되는 동안 절단되어야합니다 ( Mille and Whittaker, 2014) S- 단백질 "프라이밍"의 경우 다른 계통 b 베타 코로나 바이러스와 비교하여 인간 집단에서 효율적으로 확산되도록 2019-nCoV에 기능 이득을 제공 할 수 있습니다. 이것은 관련없는 CoV 간의 수렴 진화 경로를 보여줍니다. 흥미롭게도이 부위가 처리되지 않으면 S- 단백질은 SARS-CoV에서 관찰 된 바와 같이 바이러스 세포 내 이입 동안 부위 2에서 절단 될 것으로 예상됩니다.

     

    분명히 우리의 주장을 실험적으로 입증하려면 훨씬 더 많은 작업이 필요하지만, 그러한 처리 효소 (들)의 억제는 잠재적 인 항 바이러스 전략을 나타낼 수 있습니다. 실제로 최근 바이러스 감염을 제한하려는 노력으로 여러 바이러스에 감염된 숙주 세포가 인터페론 반응을 일으켜 퓨린 유사 효소의 효소 활성을 억제하는 것으로 나타났습니다. 또한 HIV 감염이 단백질 분해 효소 활성화 수용체 1 (PAR1) ( Kim et al., 2015 ) 또는 구 아닐 레이트 결합 단백질 2 및 5 (GBP2,5) ( Braun and Sauter, 2019 ) 의 발현을 유도하는 것으로 입증되었습니다 . 푸린을 트랜스에 밀매골지 네트워크 (PAR1) 또는 프로 단백질 전환 효소가 비활성 상태로 남아있는 초기 골지 구획 (GBP2,5). 전체적으로, 이러한 관찰은 푸린 유사 효소의 억제제가 바이러스 증식 억제에 기여할 수 있음을 시사합니다.

     

    종양 성장, 바이러스 및 세균 감염을 제한하기 위해 푸린 활성을 억제하기위한 다양한 접근법이 제안되었습니다. 따라서, α-1 안티 트립신 포틀랜드 (α1-PDX)라고 불리는 공통 퓨린 절단을 포함하는 자연 발생 세린 프로테아제 억제제 α-1 안티 트립신의 변이체는 푸린을 억제하고 HIV-1 Env의 처리를 방지합니다 ( Anderson et al., 1993 ). 다 염기성 절단 모티프의 C- 말단 및 N- 말단의 데카 노일 그룹에 클로로 메틸 케톤 (CMK) 모이어 티를 추가하여 세포 침투 (dec-RVKR-cmk)를 촉진하여 푸린, PC7, PC5의 효소 활성을 비가 역적으로 차단했습니다. , PACE4 및 PC7 ( Decroly et al., 1996 , Garten et al., 1994). 마지막으로, 푸린의 결정 구조의 해명은 2,5- 디데 옥시 스트렙 타민 유래 억제제의 설계로 이어졌으며, 억제제의 두 분자가 푸린과 복합체를 형성합니다 ( Dahms et al., 2017 ). 푸린과 유사한 효소가 여러 세포 과정에 관여하기 때문에, 한 가지 중요한 문제는 일부 독성을 유발할 수있는 전신 억제를 피하는 것입니다. 따라서, 흡입에 의해 전달되고 지속적인 억제를 허용하기 위해 푸린으로부터 느린 해리 속도를 나타내는 그러한 소분자 억제제 또는 기타 더 강력한 경구 활성 물질은 2019-에 대한 항 바이러스 효과를 평가하기 위해 신속하게 테스트 할 가치가있을 것입니다.

    신종 코로나.

    감사의 말

    이 작업은 CIHR 재단 보조금 # 148363 (NGS), 전구체 단백질 분해 분야  캐나다 연구 위원장 (NGS; # 950-231335 ), 그리고 유럽 ​​연합의 Horizon이 자금을 지원 하는 유럽 ​​바이러스 아카이브 글로벌 (BCo; EVA GLOBAL)의 지원을 받았습니다. 보조금 계약 No 871029에 따른 2020 연구 및 혁신 프로그램 .

    부록 A . 보충 데이터

    다음은이 기사에 대한 보충 데이터입니다.다운로드 : XML 파일 다운로드 (282B)

     

    [작전명] "워프 스피드"로 내년에 COVID- 19 팬데믹이 끝난다

    2020. 8. 19.

     

     

    참고문헌

    www.nejm.org/doi/full/10.1056/nejmoa2022483

    www.ncbi.nlm.nih.gov/pmc/articles/PMC7177048/

     

    모더나 백신 맞고 항체가 얼마나 지속이 될까?2021. 1. 24

     

     

    많은 분들이 궁금해 하는 모더나 mRNA 백신 맞고 나서 항체가 얼마나 지속될까요?

    이 질문에 대해서 내과 학술지의 최고봉이라 하는 New England Journal of Medicine 2021년1월 7일에 발표된 최신 논문에 근거해서 그 답을 이번 강의에서 제시합니다.

    이 강의를 통해서 백신 무용론을 주장하거나 음모론에 빠져져 방황하는 이들에게 조금이라도 도움이 되었으면 합니다.

     

    참조 문헌:

    www.nejm.org/doi/full/10.1056/NEJMc2032195